中大新聞網訊(通訊員姜維)近日,中山大學附屬第三醫院腦病中心邱偉/湯常永團隊在國際知名期刊Science Advances發表了題為“CHI3L1 signaling impairs hippocampal neurogenesis and cognitive function in autoimmune-mediated neuroinflammation”的研究論文。該研究發現NMOSD患者血液和腦脊液中CHI3L1的表達水平顯著升高,并與認知功能障礙相關評分存在相關性。
團隊通過NMOSD細胞和動物模型及多種實驗方法證實了患者來源或者小鼠來源的AQP4-IgG能夠明顯地激活星形膠質細胞釋放大量炎癥因子(包括CHI3L1),并且顯著抑制海馬神經干細胞的增殖分化,進而造成海馬相關認知功能障礙。在星形膠質細胞中特異性敲除CHI3L1,可明顯改善NMOSD動物模型小鼠認知功能。同時發現,CHI3L1通過與神經干細胞上CRTH2受體結合的機制抑制β-catenin信號通路,進一步導致神經發生異常和認知功能障礙。
視神經脊髓炎譜系疾病(neuromyelitis optica spectrum disorders,NMOSD)是我國最常見的一種免疫介導的中樞神經系統炎性脫髓鞘疾病。NMOSD患者復發率及致殘率高,90%以上的患者呈現反復發作病程,隨著對NMOSD認識的加深,NMOSD患者的認知障礙逐漸引起關注。評估NMOSD的認知障礙及其損傷機制、影像學表現及相關治療理論知識仍極其缺乏。因此,深入研究NMOSD認知功能損害發生的病理生理機制及尋找認知障礙標志物,這將有利于盡早采取有效措施延緩NMOSD認知功能的下降,為NMOSD早期診斷及治療提供幫助。
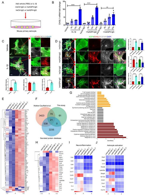
AQP4-IgG刺激星形膠質細胞釋放多種炎癥因子:該研究首先利用RT-qPCR驗證了AQP4抗體(AQP4-IgG)可以誘導星形膠質細胞增加CHI3L1的表達。通過免疫熒光染色,進一步闡明了AQP4抗體可激活星形膠質細胞CHI3L1的表達,并導致AQP4表達降低及內化。轉錄組測序分析發現,AQP4-IgG刺激星形膠質細胞分泌大量的炎癥因子(包括CHI3L1)(圖1)。

圖1:AQP4-IgG可以激活星形膠質細胞分泌炎性因子及CHI3L1
CHI3L1水平與海馬認知功能相關性分析: 該研究還對NMOSD患者血清、腦脊液及腦活檢病理切片進行了分析,證實NMOSD患者中CHI3L1水平明顯升高;通過對海馬影像學及相關認知功能評分分析,發現NMOSD患者認知功能下降可能與海馬體積改變有關,左、右海馬體積與血清中CHI3L1含量成一定負相關;經CHI3L1蛋白刺激后,神經干細胞(NSCs)的增殖和分化被顯著抑制;而預先在AQP4-IgG刺激后的星形膠質細胞的條件培養基中加入CHI3L1中和抗體去除CHI3L1,則能夠明顯改善神經干細胞增殖和分化(圖2)。

圖2:CHI3L1的表達水平及與海馬認知功能的相關性分析
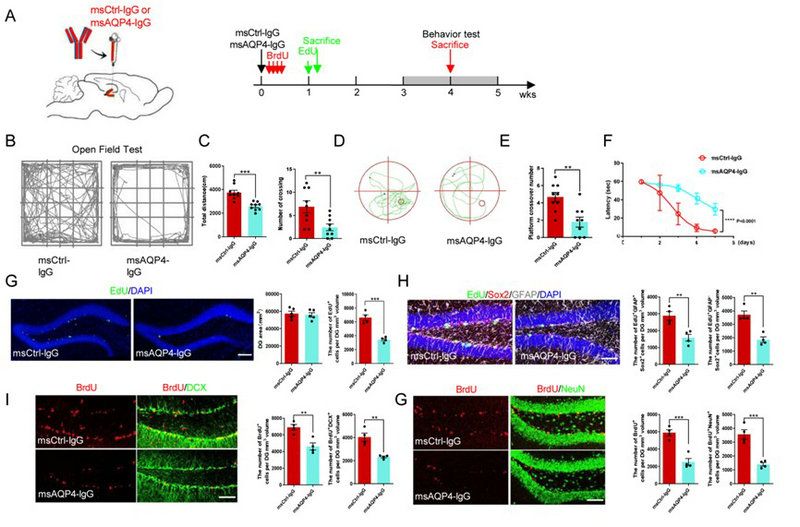
注射AQP4-IgG導致成體神經發生缺陷及認知功能障礙:團隊利用腦立體定位注射技術向海馬注射AQP4-IgG ,4周后進行相關行為學實驗。曠場實驗中,注射AQP4-IgG組小鼠運動總路程及中央區域跨越次數均減少;在莫里斯水迷宮(MWM)中,AQP4-IgG組小鼠穿越目標象限的次數減少,尋找到平臺所用時間更長。團隊進一步將這些小鼠腦冰凍切片進行免疫熒光染色,發現EdU+增殖細胞、EdU+GFAP+Sox2+ 神經干細胞和EdU+GFAP-Sox2+ 前體細胞、BrdU+DCX+未成熟神經元和BrdU+NeuN+成熟神經元的細胞數量均較對照組減少(圖3)。

圖3:NMOSD海馬局部注射小鼠模型中神經發生及認知功能的影響
特異性敲除星形膠質細胞中CHI3L1,可改善NMOSD模型小鼠海馬神經發生缺陷及認知功能障礙:本研究進一步應用Chil1flox/flox小鼠,特異性敲除星形膠質細胞中CHI3L1,能夠挽救NMOSD動物模型的海馬神經發生缺陷及認知功能障礙(圖4)。

圖4:特異性敲除星形膠質細胞中CHI3L1可改善NMOSD神經發生缺陷及認知功能障礙
CHI3L1/CRTH2通過抑制β-catenin信號通路抑制NSCs增殖和分化:通過免疫熒光共標記發現,僅CRTH2在神經干細胞中表達。并發現CHI3L1蛋白刺激NSCs可以明顯抑制β-catenin的表達,而利用表達shRNA的慢病毒敲除NSCs中CRTH2后,β-catenin的表達得到了明顯恢復;同時發現,敲降CRTH2受體能夠挽救CHI3L1對神經干細胞增殖分化的抑制作用。因此,調控CHI3L1/CRTH2/β-catenin信號通路可以改善NMOSD小鼠模型中神經干細胞增殖分化缺陷(圖5)。

圖5:CHI3L1抑制海馬神經發生的相關受體及下游信號通路
該研究首次證明了CHI3L1為NMOSD患者和小鼠模型中成體神經發生缺陷及認知功能障礙的關鍵分子。抑制NMOSD模型小鼠中的星形膠質細胞分泌CHI3L1可以明顯促進成體海馬神經發生,并改善認知功能的缺陷;同時也證明了CHI3L1/CRTH2/β-catenin信號通路在NMOSD成體神經發生相關認知功能障礙中的重要作用。該研究結果不僅深入闡明了NMOSD相關認知功能障礙的新機制,也為改善神經系統自身免疫炎性疾病認知功能障礙提出新的研究靶點。
中山大學附屬第三醫院姜維博士后、祝帆科研助理、徐輝明博士為共同第一作者,中山大學附屬第三醫院邱偉教授、湯常永副研究員和美國布朗大學Alvin Huang教授為共同通訊作者。該研究得到了中山大學附屬第三醫院實驗醫學部韓曉燕主任、丘秀生、梁淑珍、蔡程程、陳雪芳和胡宇等管理員的支持和幫助。